Gallery

Elisa S Liberto DMD FAGD

FULL MOUTH SMILE MAKEOVER

Close-up of a person's smiling mouth showing teeth, slightly parted lips, and a glimpse of the inside of the mouth.
Close-up of a person's smiling mouth showing bright white teeth and pink gums.
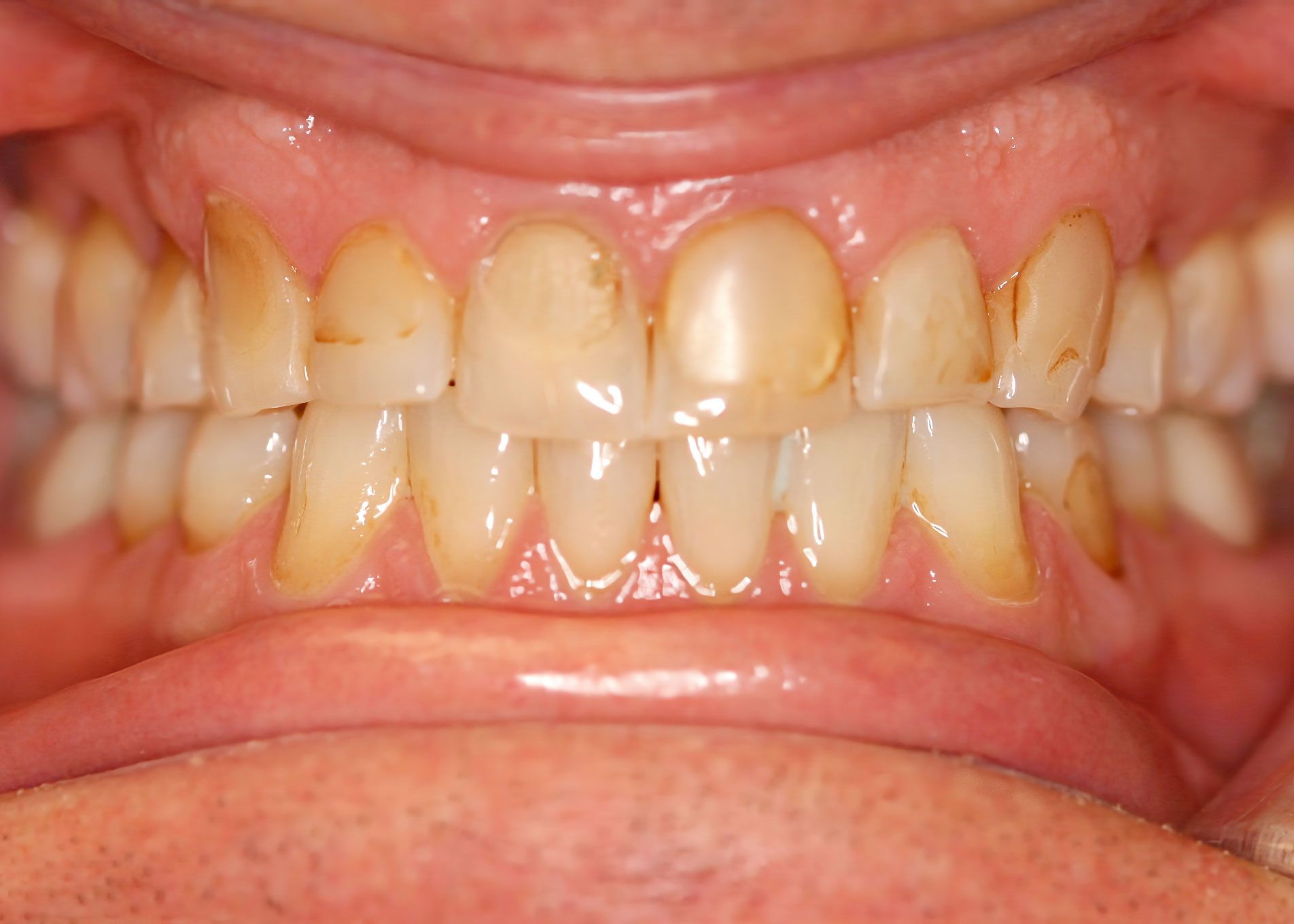
Close-up of a person's mouth with visibly damaged, discolored teeth; chipped and uneven.
Close-up of a person's open mouth, showing bright white teeth.

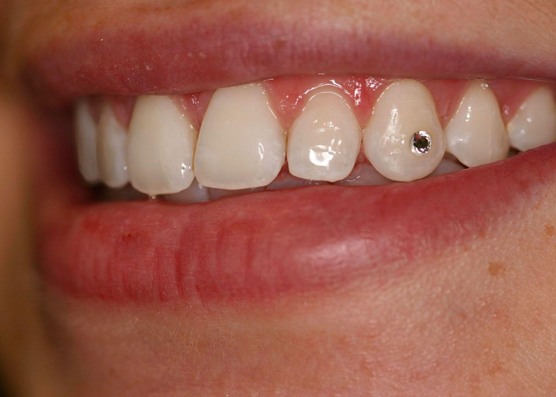
GINGIVAL ESTHETIC RE - CONTOURING

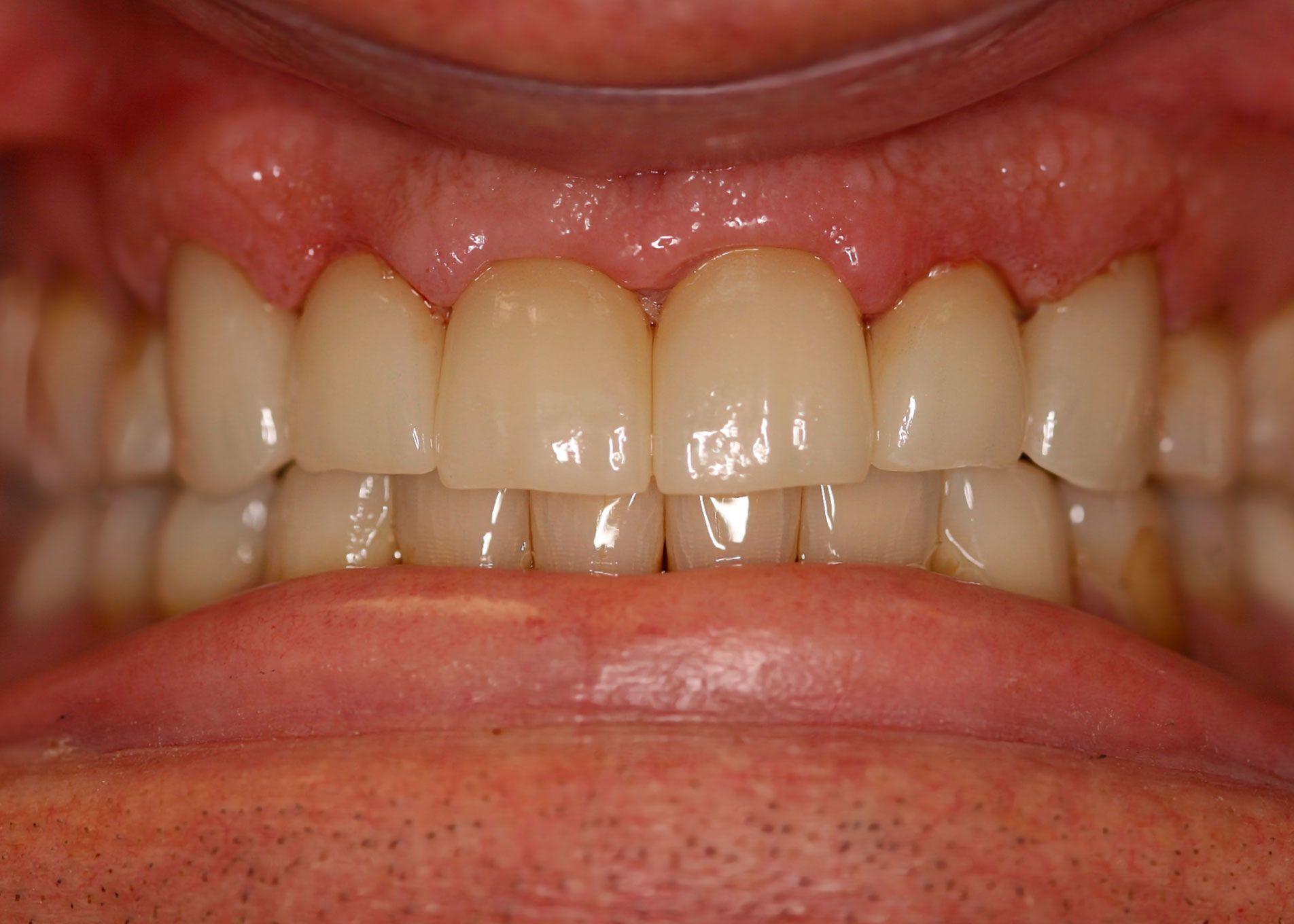
Mouth open, showing upper and lower teeth. Light pink gums and teeth are visible.
Close-up of a person's teeth, showing a row of white teeth against pink gums and lips.
Close-up of a person's mouth with visible, white teeth and light pink lips.
Close-up of a person's mouth with visible, white teeth. The person has stubble.
Close-up of human teeth, upper teeth appear capped and whiter than lower teeth.
Close-up of a person's upper teeth. The teeth are white with a slight curve, set against pink gums.

WHITENING

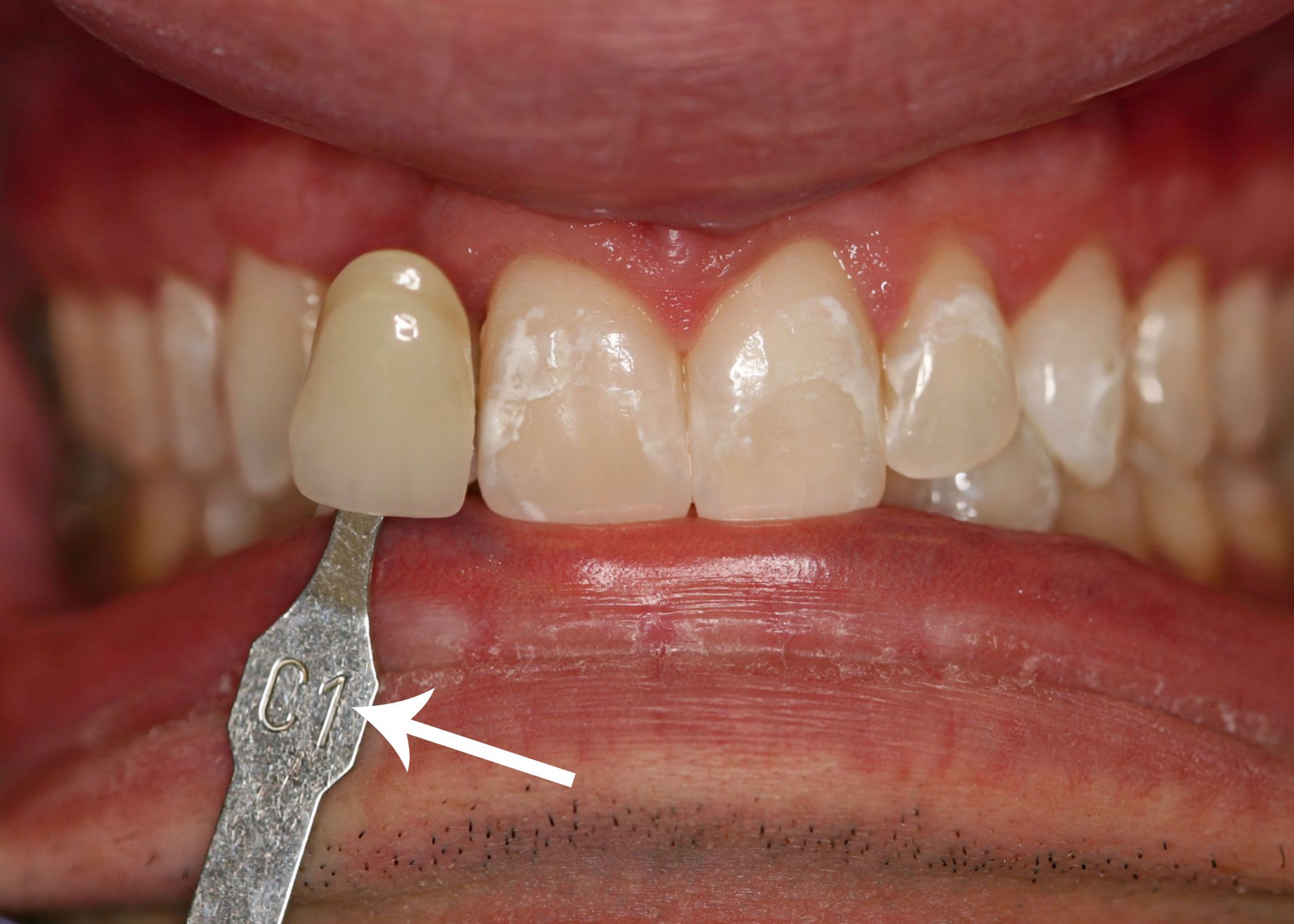
Dental shade guide held next to teeth, showing a color comparison for teeth whitening.
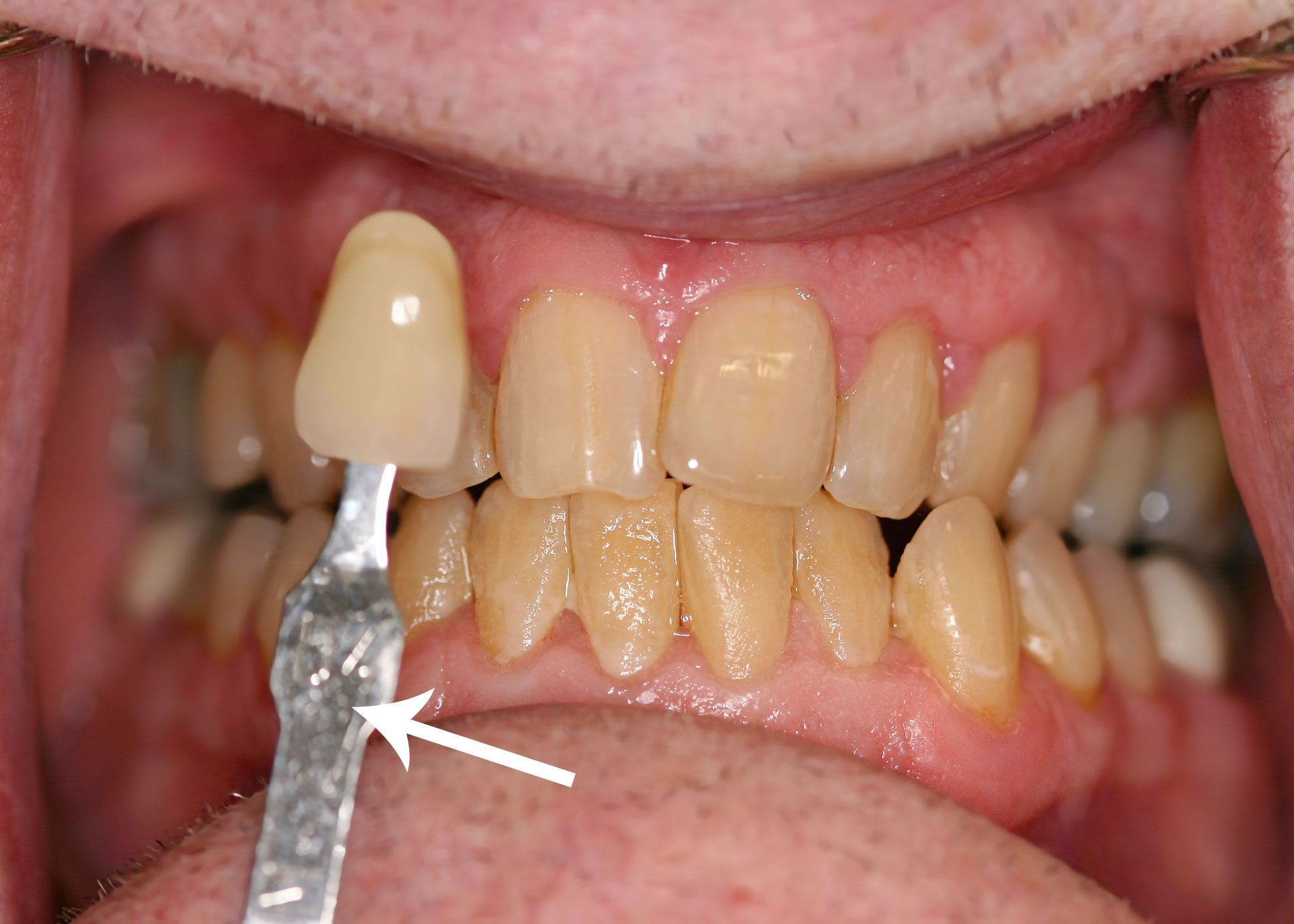
Tooth shade guide held next to a crowned tooth; the guide indicates a shade match.

RESIN SMILE MAKEOVER

Close-up of teeth showing crowding and a gap between the front teeth.
Close-up of a person's teeth, showing slight crowding, with slightly yellowed color and reddish gums.
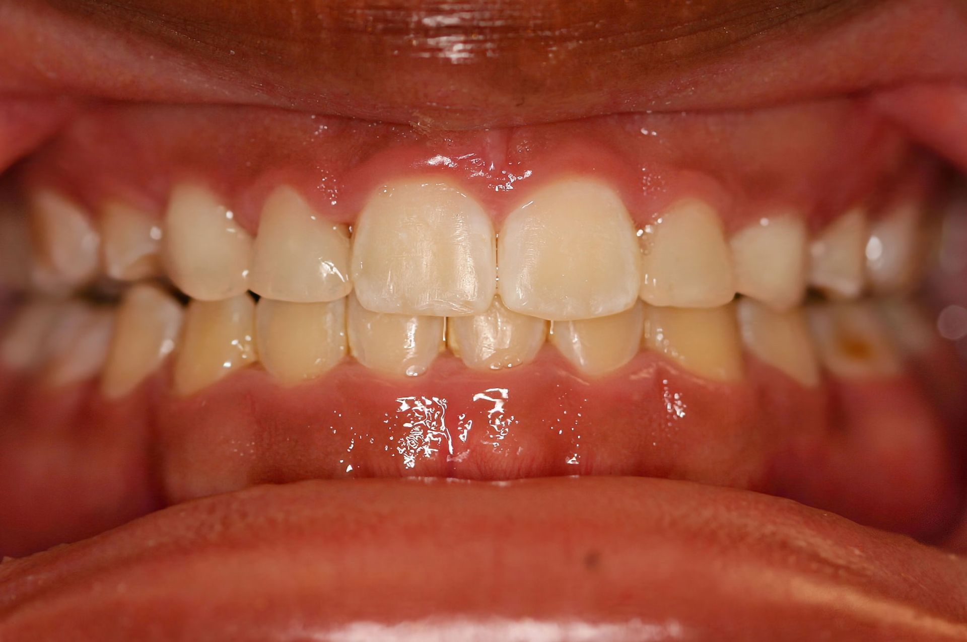
Close-up of a person's smiling mouth showing teeth. The teeth are yellowed, and the gums are pink.
Close-up of a person's smiling mouth showing teeth. Gums are slightly red, teeth are white.

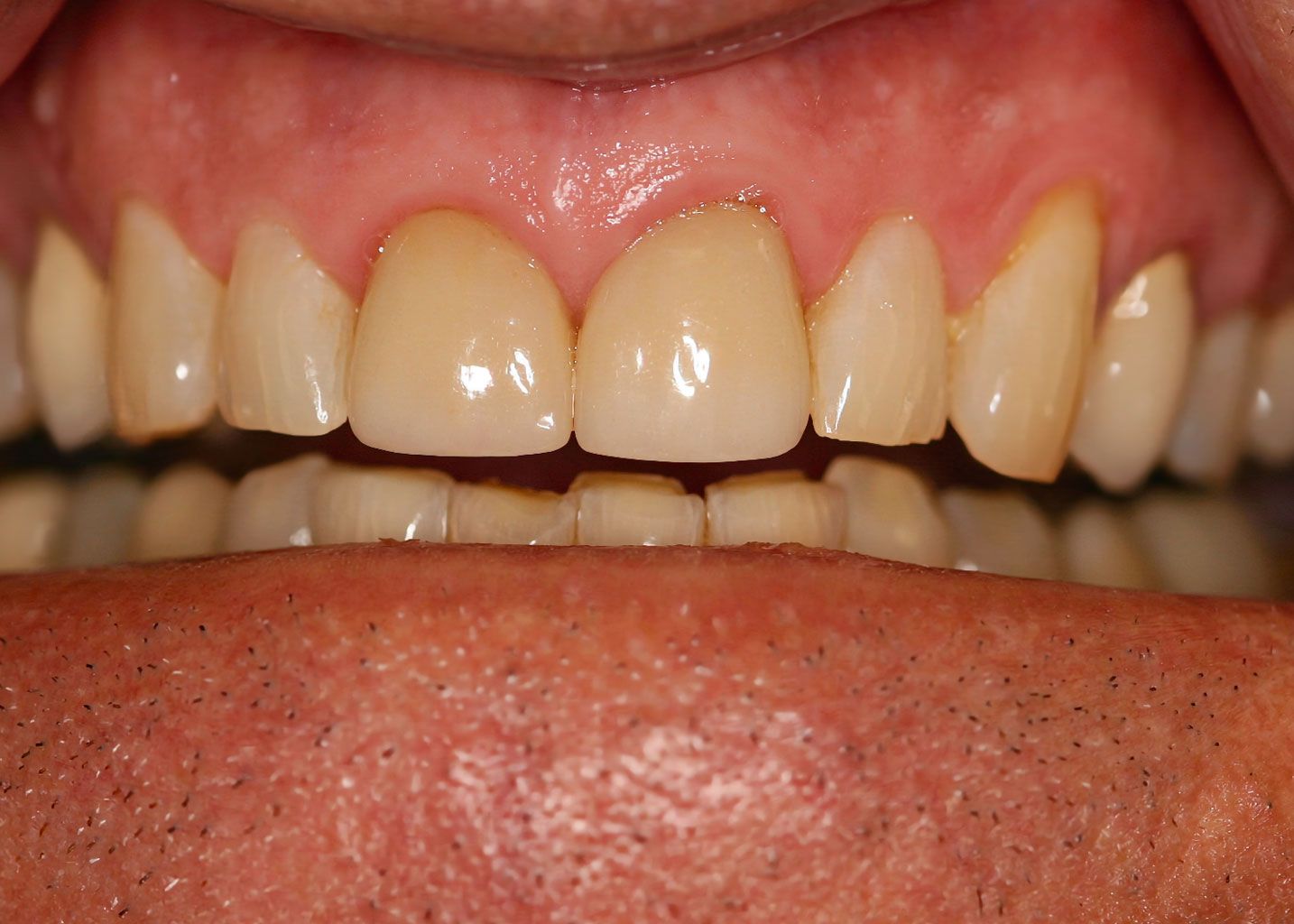
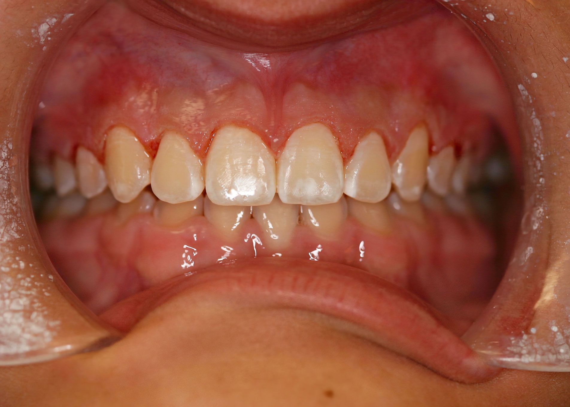
CROWNS

Close-up of a person's smile, showing stained teeth.
Close-up of a person's smiling mouth showing bright, straight teeth with minor staining on the bottom row.
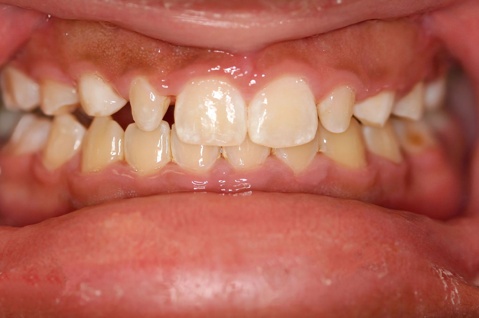
Close-up of teeth, yellowed with some brown spots. The gums are visible and healthy looking.
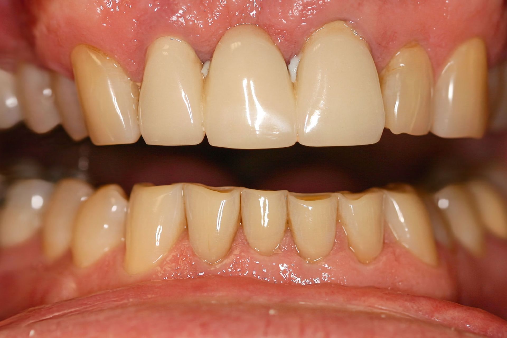
Close-up view of teeth in a mouth, showing healthy gums and even, bright white teeth.
Mouth of a person with a missing front tooth and chipped teeth, smiling.
Close-up of a person's bright, white smile with straight teeth, visible lip and skin.
Close-up of a person's smile, showing chipped front teeth.
Close-up of a person's open mouth, showing a full set of bright white teeth.
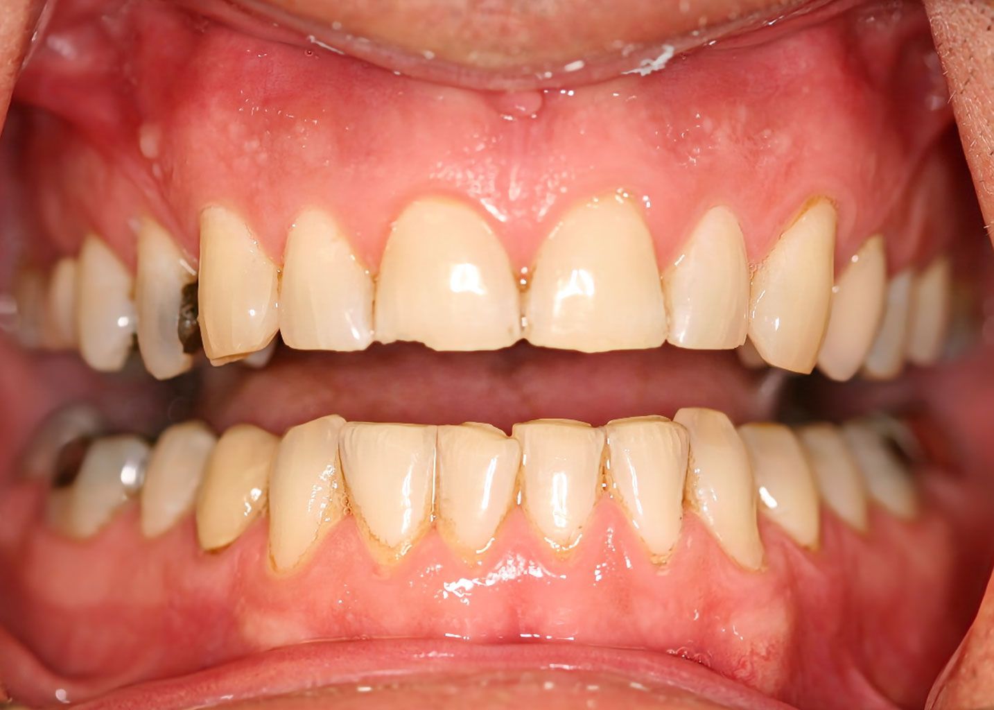
Close-up view of teeth showing yellowing, wear, and minor chips. Gums appear healthy.
Close-up of teeth. Two front teeth are capped and lighter in color than the others.

LIPS

Close-up of human lips and nose; pale pink lips, smooth skin.
Close-up side view of a person's slightly parted, light pink lips against peachy skin.
Close-up of full, pale pink lips.
Close-up side view of a person's slightly parted lips, pale pink and defined.
Close-up of full, glossy pink lips, with a soft shine.
Close-up of a person's side profile, showing glossy pink lips with a subtle smile.
Close-up of human lips, pinkish in color, slightly parted.
Close-up of full, glossy lips with a pinkish hue.
Close-up of human lips, slightly open, with a thin line of saliva visible. Pinkish skin.
Close-up of lips, glossy pink, with a darker outline and subtle lines.
Close-up of human lips, slightly parted, with a pale pink color.
Close-up of full, glossy pink lips, with a soft shine reflecting light.
Close-up of human lips and surrounding skin, showing redness and texture.
Close-up of lips, swollen and reddish, with surrounding skin showing small blemishes.
Close-up of a person's lips. The lips are closed and slightly pink, with fine lines around the mouth.
Close-up of lips; pink, slightly swollen, with faint lines.
Close-up of a person's lips. Lips are slightly chapped, with fine lines around the mouth.
Close-up of human lips, pale pink with subtle wrinkles, on a background of light skin.
Close-up of human lips and surrounding skin, showing redness and texture.
Close-up of lips, swollen and reddish, with surrounding skin showing small blemishes.

BOTOX TREATMENT FOR GUMMY SMILE

Close-up of a smiling mouth, showing even, white teeth and pink lips.
Smiling mouth, showing white teeth, and full pink lips.